IMPLANTY WARSZAWA PRAGA POŁUDNIE / SASKA KĘPA

Implanty zębowe cennik
– cena i czynniki wpływające na
koszt

Implanty zębowe to nowoczesne rozwiązanie, które skutecznie zastępuje naturalne zęby,
przywracając zarówno estetykę, jak i pełną funkcjonalność jamy ustnej.
Dzięki zaawansowanym technologiom pacjenci mogą cieszyć się nie tylko pięknym uśmiechem, ale także komfortem podczas jedzenia, co bezpośrednio wpływa na jakość życia. Ale ile kosztuje taki zabieg?

Średnia cena wszczepienia pojedynczego implantu w 2025 roku wynosi 3000 zł. W przypadku pełnej rekonstrukcji uzębienia jednej szczęki koszty mogą sięgać od 20 000 do nawet 50 000 zł. To znacząca inwestycja, dlatego warto wiedzieć, co dokładnie wpływa na jej wysokość.
Na końcowy koszt implantów składa się kilka kluczowych czynników:

Technika wszczepienia: Bardziej zaawansowane metody, np. natychmiastowe obciążenie koroną, mogą zwiększać koszt całkowity.

Rodzaj odbudowy protetycznej: Im bardziej skomplikowana jest praca protetyczna, tym koszt jej wykonania może być wyższy.

Dodatkowe zabiegi – np. augmentacja kości czy sinus lift zwiększają koszty.

Każdy z tych elementów może znacząco wpłynąć na ostateczną cenę leczenia. Warto również zastanowić się, jak rozwój technologii i nowoczesne metody wpłyną na przyszłe koszty implantów. Czy innowacje sprawią, że staną się one bardziej dostępne dla większej liczby pacjentów? To pytanie pozostaje otwarte. Jedno jest pewne – stomatologia nieustannie dąży do poprawy jakości i dostępności leczenia.






Kto wykonuje u nas zabieg?

dr Jakub Sobański

Leczeniem stomatologicznym zajmuję się już od ponad 33 lat. Od 25 lat moją specjalizacją jest implantologia. Celem mojej wieloletniej praktyki lekarskiej jest poprawa jakości życia naszych pacjentów. Serdecznie zapraszam na konsultację, na której odpowiem na wszystkie Państwa pytania."

Rozwiewamy wątpliwości: 
Czy jest się czego bać?

Zabieg implantologiczny często budzi obawy wśród pacjentów. Ale czy faktycznie jest się czego bać? Na to pytanie odpowie dr Jakub Sobański.

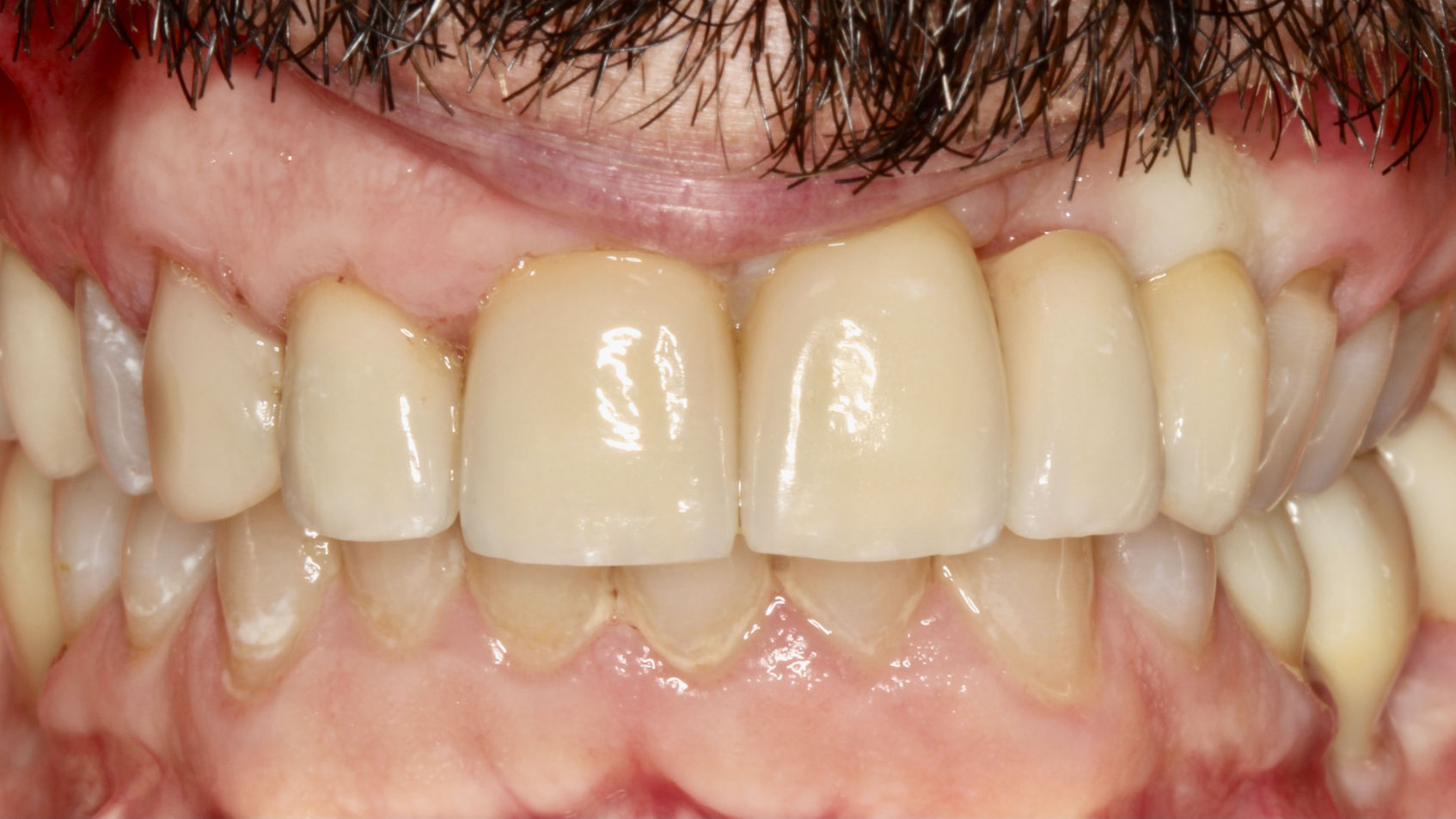
Całkowity koszt pojedyńczego
implantu zębowego

Planując wszczepienie implantu zębowego, wiele osób zastanawia się nad jego rzeczywistą ceną. W 2025 roku średni koszt wykonania jednego implantu w naszej klinice wynosi około 6500 zł. Na tę kwotę składają się dwa kluczowe etapy:

Faza chirurgiczna: Wszczepienie implantu w kość (zabieg + śruba)
Faza protetyczna: Odbudowa protetyczna (widoczny ząb + łącznik) 

Ostateczna cena może się jednak różnić w zależności od rodzaju implantu, zastosowanej metody leczenia. Dlatego warto dokładnie przeanalizować dostępne opcje przed podjęciem decyzji.

Koszt korony protetycznej i łącznika protetycznego

Na całkowity koszt leczenia implantologicznego składają się również:

Korona protetyczna: czyli "nowy ząb", wykonany z porcelany lub ceramiki. Jego koszt to od 3000 do nawet 5000 zł. 

Łącznik protetyczny: Element łączący implant z koroną, wykonany z tytanu lub
cyrkonu. Łącznik jest zawsze wliczony w koszt fazy chirurgicznej.

Cena implantów dla całej szczęki

Decyzja o pełnej rekonstrukcji zębów w szczęce lub dolnej za pomocą implantów to istotny krok zarówno pod względem zdrowia, jak i finansów. W 2025 roku koszt odbudowy zębów na implantach dla całej szczęki wynosi od 18 000 do 50 000 zł. To znacząca inwestycja, ale jej korzyści są nieocenione i obejmują poprawę komfortu życia, estetyki uśmiechu oraz funkcjonalności zgryzu.

Ostateczna cena zależy od kilku czynników, takich jak:

Metoda implantacji: różne techniki mają różne koszty i efektywność. (all on 4, all on 6, all on x)

Rodzaj materiałów: Wybór materiału (akryl, kompozyt, cyrkon) z którego wykonane zostaną nowe zęby znacząco wpływa na cenę. Im materiał droższy, tym trwalszy.

Indywidualne potrzeby pacjenta: stan kości i konieczność wykonania ewentualnych dodatkowych zabiegów, to także potencjalne dodatkowe koszty.

Komplet Stomatologia

Etapy leczenia

01.

Konsultacja

Podczas pierwszej wizyty lekarz przeprowadza szczegółowy wywiad, wykonuje badania obrazowe (np. tomografię komputerową) i ocenia stan jamy ustnej. Na tej podstawie powstaje indywidualny plan leczenia.

02.

Komfortowy zabieg

W znieczuleniu miejscowym chirurg umieszcza implant w kości szczęki lub żuchwy. Zabieg trwa krótko i jest całkowicie bezpieczny. Często możliwe jest założenie korony tymczasowej, tak by pacjent mógł funkcjonować już na tym etapie, bez braków w uzębieniu. 

03.

Okres gojenia (osteointegracja)

Implant zrasta się z kością – proces ten trwa zazwyczaj od 3 do 6 miesięcy. W tym czasie możliwe jest tymczasowe uzupełnienie protetyczne, abyś nie musiał rezygnować z estetyki uśmiechu.

04.

Odsłonięcie implantu i założenie łącznika

Po zakończonym gojeniu implant zostaje odsłonięty, a lekarz mocuje specjalny łącznik, który będzie podstawą dla korony protetycznej.

05.

Korona protetyczna – nowy ząb

Na końcu przygotowywana jest indywidualnie dopasowana korona, która perfekcyjnie odwzorowuje naturalny ząb – zarówno pod względem wyglądu, jak i funkcji.

06.

Kontrole i higiena

Po zakończeniu leczenia kluczowe są regularne wizyty kontrolne oraz utrzymanie prawidłowej higieny jamy ustnej, by implant służył przez długie lata.

Koszt tomografii komputerowej CBCT w planowaniu leczenia

Precyzyjna diagnostyka to klucz do skutecznego leczenia implantologicznego. Jednym z najważniejszych badań jest tomografia komputerowa CBCT, która pozwala lekarzowi dokładnie ocenić stan kości i zaplanować zabieg z najwyższą precyzją.

Koszt tomografii CBCT w naszej klinice Komplet wynosi 250 zł. Choć to dodatkowy wydatek, inwestycja w dokładną diagnostykę zwiększa szanse na powodzenie leczenia i minimalizuje ryzyko powikłań.

Proteza stała All-on-4:
ostatnia deska ratunku, czy najlepszy wybór?

O flagowym zabiegu implantologicznym, wykonywanym w naszych klinikach, opowie dr Jakub Sobański.

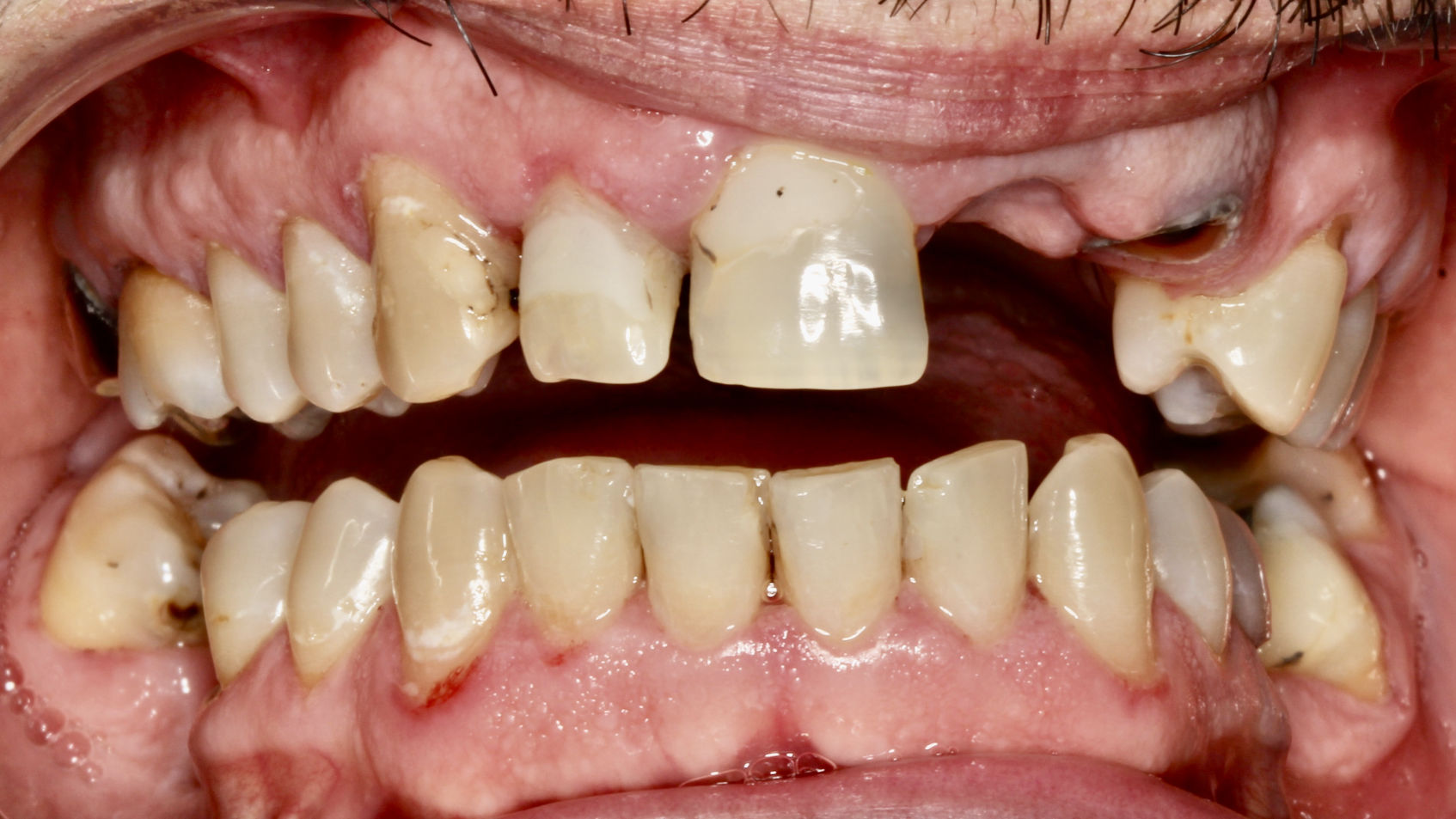
Konieczne procedury? Augmentacja kości i sinus lift

W niektórych przypadkach przed wszczepieniem implantu konieczne są dodatkowe procedury, które są niezbędny aby umieścić wszczepy w kości. Te procedury to m.in:

Augmentacja kości: odbudowa tkanki kostnej w miejscach, gdzie doszło do jej zaniku, co jest kluczowe dla stabilności implantu. Jest rutynowym zabiegiem, którego nie należy się obawiać. Bez odpowiedniej ilości kości implant nie miałby stabilnego podparcia, co mogłoby wpłynąć na jego trwałość. Koszt augmentacji kości wynosi od 4500 zł.

Sinus lift:  Sinus lift, czyli podniesienie dna zatoki szczękowej, to kolejny zabieg, który może okazać się niezbędny przed wszczepieniem implantu. Stosuje się go gdy w szczęce brakuje wystarczającej ilości kości do stabilnego osadzenia wszczepu. Koszt zabiegu zaczyna się od 5000 zł i zależy od stopnia skomplikowania oraz indywidualnych potrzeb pacjenta. O konieczności jego wykonania decyduje lekarz na podstawie szczegółowej diagnostyki.

Finansowanie leczenia
implantologicznego

Decyzja o wszczepieniu implantów zębowych to nie tylko kwestia zdrowia i estetyki, ale także znaczący wydatek. Koszt takiego leczenia bywa wysoki, dlatego warto rozważyć dostępne opcje płatności, które mogą uczynić ten proces bardziej przystępnym.

Jednym z popularnych rozwiązań jest system MediRaty, umożliwiający rozłożenie kosztów leczenia na dogodne raty. Dzięki temu pacjenci nie muszą jednorazowo ponosić dużego wydatku, a jednocześnie mogą skorzystać z nowoczesnych metod odbudowy uzębienia. To świetna opcja dla tych, którzy nie chcą odkładać leczenia na później z powodów finansowych.

Robimy różnicę.

Jak to wygląda w praktyce?

"Co mnie czeka na pierwszej wizycie implantologicznej? "

Decydując się na implant, na pewno zastanawiasz się od czego wszystko się rozpocznie. O przebiegu pierwszej wizyty oraz kolejnych krokach opowie dr Jakub Sobański.

"Panie doktorze! Czy to znaczy że wyjdę z zębem, czy bez zęba?"

To jedno z najczęstszych pytań które słyszymy w naszej klinice. Szczegółowej odpowiedzi udzieli dr Jakub Sobański - implantolog z 33-letnim doświadczeniem!

"Implant zintegrował się z kością. Co dalej?"

Jak wygląda końcowa część procedury implantologicznej? Kiedy można założyć koronę ostateczną? 

ZESPÓŁ, KTÓREMU MOŻESZ ZAUFAĆ

Implantologia to nie tylko technika, to sztuka, którą doskonalimy od 25 lat. Nasza rodzinna klinika łączy wieloletnią wiedzę i nowoczesne rozwiązania,
które zapewniają komfort i efekty na lata.

PONAD 20 SPECJALISTÓW, GOTOWYCH ZADBAĆ O TWÓJ UŚMIECH

Tworzymy zespół ekspertów, którzy z pełnym zaangażowaniem pomagają pacjentom.

Umów wizytę i przekonaj się, jak możemy pomóc i tobie!

Komplet Stomatologia

A co mówią
o nas pacjenci?

Długo szukałam odpowiedniego miejsca w Warszawie jeżeli chodzi o stomatologię, aż w końcu trafiłam na przychodnię KOMPLET! Świetni lekarze, świetne podejście do pacjenta. Polecam każdemu z całego serca jeżeli chcecie mieć dobrze zaopiekowane zęby!

ALICJA WOLAK

Doktor Antoni Sobański to prawdziwy magik! Nie spodziewałem się ze licówki będę prezentowały się tak pięknie, jeszcze raz bardzo dziękuję!

JAN GAWIEJCZYK

Pomimo strachu, zabieg przeprowadzony szybko i sprawnie. Fachowe rozwiązanie mojego problemu. Bardzo mocno polecam!

MARCELA KASCHUBA

Polecam gabinet Komplet i doktora Jakuba Sobańskiego. Świetny specjalista, bardzo profesjonalny, ogromne doświadczenie w implantologii. Dwóch innych lekarzy wcześniej stwierdziło że muszę mieć bardzo skomplikowany zabieg uzupełniania kości przed implantami a pan doktor wstawił implanty bez dodatkowych zabiegów. 

JUSTYNA RADECKA

Polecam! Najlepsza przychodnia po tej stronie Wisły, a przeszłam już niejedną. Dr. Jabłoński to specjalista w swojej dziedzinie. Mądry i cierpliwy człowiek. Wszystko tłumaczy i objaśnia co będzie robił. U mnie leczenie kanałowe, a potem odbudowa przeszły całkowicie bezboleśnie! POLECAM

OLIWIA WOJCIECHOWSKA

Często zadawane pytania

W Polsce leczenie implantologiczne nie jest standardowo refundowane przez Narodowy
Fundusz Zdrowia (NFZ). Wyjątek stanowią przypadki, gdy utrata zębów nastąpiła w wyniku
wypadku – w takich sytuacjach pacjenci mogą ubiegać się o refundację, choć wymaga to
spełnienia określonych kryteriów i dostarczenia odpowiedniej dokumentacji.

Nie. Zabieg wykonywany jest w znieczuleniu miejscowym i jest całkowicie bezbolesny. Pacjenci porównują go często do zakładania plomby – z tą różnicą, że trwa nieco dłużej.

Dla każdego, kto utracił jeden lub więcej zębów. Warunkiem jest odpowiednia ilość kości — ale nawet w jej braku można przeprowadzić zabiegi regeneracyjne (np. sinus lift), które umożliwiają późniejsze wszczepienie implantu.

Proces osseointegracji (czyli zrastania implantu z kością) trwa zwykle od 3 do 6 miesięcy. Dopiero po tym czasie zakłada się ostateczną koronę. Jednak w niektórych przypadkach możliwe jest natychmiastowe obciążenie implantu.

Tak — przy odpowiedniej higienie i regularnych wizytach kontrolnych implant może służyć przez kilkadziesiąt lat, a często nawet całe życie.

Podobnie jak o własne zęby — szczotkowanie, nitkowanie, stosowanie irygatora i higienizacja w gabinecie co 6 miesięcy. To klucz do sukcesu i trwałości pracy implantologicznej.

Umów wizytę!

Saska Kępa
  • Adres: Zwycięzców 28 lok.30
  • Galeria Handlowa Saska Kępa , 03-938 Warszawa
  • tel. (22) 672-81-49
  • mail. [email protected]

  • Godziny otwarcia: 
  • Poniedziałek - Piątek : 8:00 – 20:00
  • Sobota: 9:00 – 14:00
Grochów

KOMPLET

Grochów

Adres: Garwolińska 16, 04-348 Warszawa
tel. (22) 672-81-49
mail. [email protected]

Saska Kępa

Adres: Zwycięzców 28 lok.30
Galeria Handlowa Saska Kępa , 03-938 Warszawa
tel. (22) 672-81-49

Nasze Social Media

Polityka prywatności 

© Copyright 2025 - All Rights Reserved

Designed by HERC MEDia